Support

Lorem ipsum dolor sit amet:

24h / 365days

We offer support for our customers

Mon - Fri 8:00am - 5:00pm (GMT +1)

Get in touch

Cybersteel Inc.
376-293 City Road, Suite 600
San Francisco, CA 94102

Have any questions?
+44 1234 567 890

Drop us a line
info@yourdomain.com

About us

Lorem ipsum dolor sit amet, consectetuer adipiscing elit.

Aenean commodo ligula eget dolor. Aenean massa. Cum sociis natoque penatibus et magnis dis parturient montes, nascetur ridiculus mus. Donec quam felis, ultricies nec.

verbunden mit optimaler Funktion

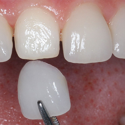
Ästhetische ZahnMedizin

Moderne Behandlungsmethoden mit biokompatiblen Werkstoffen ermöglichen, das Aussehen Ihrer Zähne in Funktion, Form und Farbe positiv zu verändern und dabei sie dennoch natürlich wirken zu lassen. Füllungen und Zahnersatz können heute auch für den Fachmann nahezu unsichtbar realisiert werden. Das bedeutet für Sie nicht nur eine gute Funktionalität, sondern auch einen Gewinn an Lebensqualität.

Optionen moderner Zahnästhetik bestehen aus

  • hochästhetischen, zahnfarbenen Composite-Füllungen,
  • vollkeramischen Inlays, Onlays, Teilkronen, Kronen und Brücken,
  • dem Wiederaufbau von geschädigten Zähnen mit hochästhetischen Composites, hauchdünnen Verblendschalen aus Vollkeramik (Veneers) oder auch
  • Bleaching, d.h. eine Aufhellung von natürlichen Zähnen bei schonend professioneller Vorgehensweise.

 

Ästhetische ZahnMedizin Kerstin Schilde-Schmidt

Einzelheiten zu den verschiedenen Behandlungsmethoden und eine umfangreiche Beratung bieten wir Ihnen in unserer Praxis gerne an.

 Vollkeramik (Veneers)

Weitere Informationen finden Sie auch unter www.dgz-online.de
Unser bevorzugtes Zahntechnisches Labor: Dentalkonzepte Knapp

Beratung zur ästhetischen ZahnMedizin

ZahnMedizin in Koblenz

Neben ästhetischer Zahnheilkunde bieten wir Ihnen Kompetenzen in moderner, spezialisierter ZahnMedizin in den Bereichen:

Praxiszeiten

  • Montag – Freitag
    08.00 – 13.00 Uhr
  • Montag & Dienstag
    13.00 – 17.30 Uhr
  • Donnerstag
    13.00 – 17.00 Uhr

Adresse


Koblenzer Str. 116
56073 Koblenz-Moselweiß

0261–479 88

0261–479 18

Social Media

Besuchen Sie mich
gerne auf LinkedIn

Wir freuen uns über Ihre positive
Bewertung bei Google und jameda.

© 2026 | ZahnMedizin Kerstin Schilde-Schmidt | Tel. 0261–479 88
You are using an outdated browser. The website may not be displayed correctly. Close